Real Smile Transformations in Pasadena
Discover the life-changing results our patients have achieved with personalized cosmetic, restorative, and implant dentistry. From full smile makeovers and veneers to All-on-X implants and Invisalign, these before-and-after photos showcase how Dr. Sean Sunyoto and our team at Legacy Dental Pasadena restore natural beauty, function, and confidence—one smile at a time.

Patient Stories from Our Dental Practice
Real patient experiences. Real dental results. Real smiles from our Pasadena dental office.
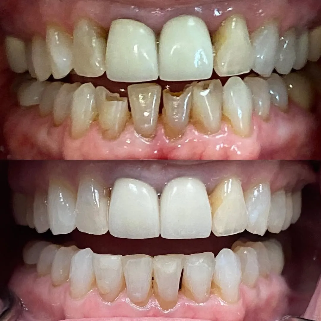
Featured Smile Makeover: Natural Transformation by Dr. Justin Cho
Featured Case: Natural-Looking Smile Makeover in Pasadena
This recent transformation highlights the artistry and precision our team delivers every day. Completed by Dr. Justin Cho, the cosmetic work featured custom shading hand-crafted in collaboration with Frontier Dental Lab for seamless, natural-looking results.
The patient traveled over an hour to our practice on a trusted recommendation—proof of the confidence our community places in us. Stories like this remind us why we’re committed to personalized care, cutting-edge techniques, and results that truly change lives.
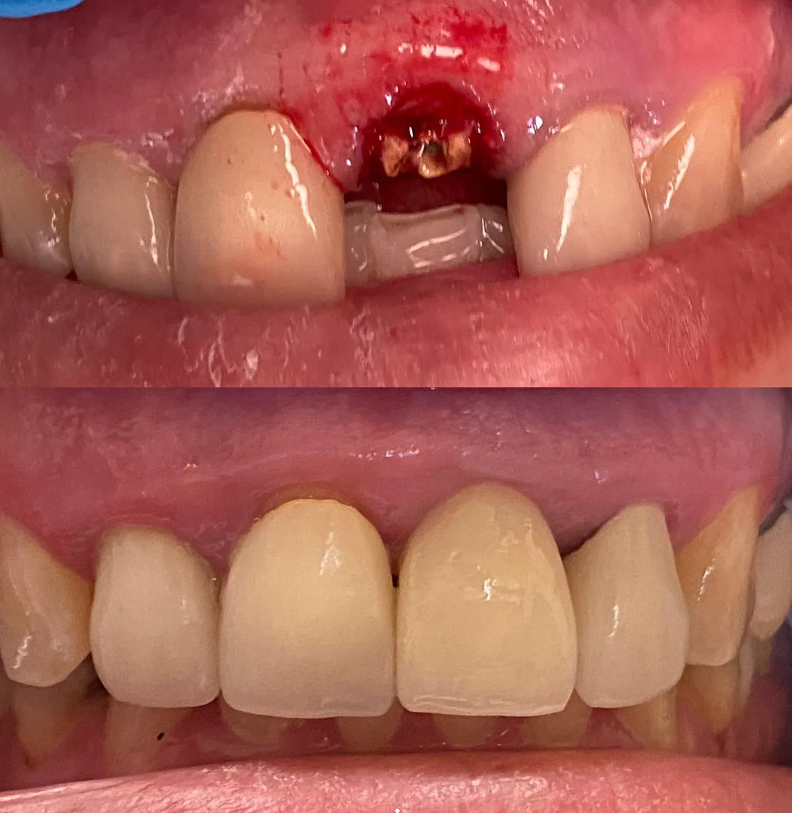
Explore Our Before & After Gallery
See the Difference Personalized Care Makes
Browse real patient results from Legacy Dental Pasadena. Our gallery features transformations ranging from full dentures and All-on-X dental implants to veneers, crowns, Invisalign alignments, and complete smile makeovers. Each case demonstrates how we restore not just teeth, but function, comfort, and self-assurance through tailored treatment plans.
Start Your Own Smile Transformation today
Join our patients who have rediscovered their confidence through advanced, personalized dental care.

Our friendly team is ready to answer your questions and make your visit as smooth as possible.
Conveniently located in Pasadena, we proudly serve patients from South Pasadena, Arcadia, Altadena, San Marino, La Cañada Flintridge, Monrovia, and surrounding areas.











.webp)



















